Вот как избавиться от зубного камня без помощи стоматолога

Красота

Как правило, стоматолог удаляет зубной камень, с которым не справляется зубная щетка, пишет Laminutebienetre.

Тем не менее если вы понимаете, что визит к врачу состоится не так скоро, не стесняйтесь брать быка за рога!

Избавьтесь от него самостоятельно, используя обычные домашние средства. Вот, что вам нужно знать:

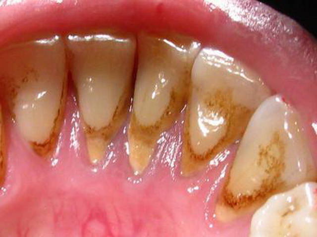
Что такое зубной камень и как его распознать?

Зубной камень – это налёт, который остается на зубах и со временем, при отсутствии должного ухода, затвердевает. С его накоплением в ротовой полости распространяются бактерии, которые в конечном итоге могут вызвать воспаление десен.

Зубной налёт обычно желтоватый или коричневый по цвету и образуется преимущественно внутри нижних резцов или между зубами.

Зубной камень препятствует чистке зубов. В итоге повышается риск возникновения дупел и инфекций.

Врачи рекомендуют проводить профессиональную чистку зубов у стоматолога каждые полгода, но есть и домашние способы предотвратить образование зубного камня.

С помощью следующих подручных средств вы сможете избавиться от него самостоятельно:

1. При помощи зубочистки.

Вам понадобятся:

  • 1 зубная щетка
  • 1/2 c.к. соли
  • 1/2 чашки теплой воды
  • 1 стакан перекиси водорода
  • 1 зубочистка
  • Пищевая сода
  • Антисептическое средство для полоскания рта

Смешайте пищевую соду с солью и водой. Почистите зубы этой смесью. Затем нужно прополоскать ротовую полость при помощи перекиси и воды, а после хорошо промыть чистой водой.

Читайте также:  Она вылила на голову 2 литра обычной «Кока-Колы». То, что произошло потом, повергнет тебя в восторг!

Наконец, возьмите зубочистку и удалите зубной камень (первая часть процедуры смягчила пластину). Прополощите рот антисептическим средством и всё, готово!

2. При помощи фруктов.

Потрите зубной камень в течение 10 минут кусочком лимона или клубники. Кислотность фруктов смягчит пластину, позволяя вам легче избавиться от нее с помощью зубной щетки.

3. При помощи разрыхлителя для теста.

Растворите немного порошка для выпечки в воде и почистите зубы готовой смесью. Вы не только избавитесь от зубного камня, но и отбелите зубы.

4. При помощи эфирного масла чайного дерева.

Добавьте две капли эфирного масла на зубную щетку и почистите зубы, чтобы удалить камень.

Несколько советов, чтобы сохранить здоровье ваших зубов:

Чтобы предотвратить образование зубного камня, необходимо чистить зубы не реже двух раз в день и дополнительно их очищать с помощью зубной нити.

Также дантисты рекомендуют есть яблоки между приемами пищи, пить зеленый чай или жевать жвачки, содержащие ксилит, чтобы бороться с бактериями.

Какими методами борьбы с камнем вы чаще всего пользуетесь?

Источник

Оцените статью
Добавить комментарий